IRDI CAPITAL INVESTISSEMENT
Analyse en cours...
Chargement en cours...
TECH | Scop 3 aménage de nouveaux entrants
La société héraultaise au 1 M€ de chiffre d’affaires, spécialisée dans l’aménagement des locaux professionnels par du mobilier reconditionné, réalise une levée de ...
TECH | Quatre fonds gravitent autour d'Infinite Orbits
Alors qu'elle a déjà réussi à lancer un satellite et atteindre 3 M€ de revenus, la société de services d'inspection en orbite lève...
SEG Diélectriques fait le plein auprès d’un fonds
La PME héraultaise de fabrication d’isolants électriques de 10 M€ de chiffre d’affaires procède à une augmentation de capital…
TECH | Blue Valet poursuit sa route
Le service en ligne bordelais de voituriers dans les aéroports et les gares, proche de l'équilibre et en forte croissance, mais très endetté par des PGE, et repris par une partie de ses actionnaires...
TECH | FoodPilot conduit un tour d'amorçage
La plateforme montpelliéraine de pilotage de l'ESG pour les entreprises de l'agroalimentaire, visant plus de 2 M€ de revenus cette année, lève...
EXCLUSIF | TECH | Womed accouche d’une série A
La medtech montpelliéraine prépare la commercialisation de son premier dispositif prévenant les adhérences intra-utérines en réunissant...
TECH | Antabio exhibe sa série B
La biotech en phase clinique avec un premier traitement contre des infections nosocomiales pulmonaires termine ses essais de phase 1 et finance sa phase 2 en collectant...
TECH | Dionymer transformé par des VCs régionaux et à impact
Afin de sortir du laboratoire sa technologie de transformation des déchets organiques en matériaux polymères biodégradables, la start-up bordelaise s'amorce auprès de...
Leader Print se recharge chez un fonds régional
Suivi depuis 2017 par Odyssée Venture, l’imprimeur montpelliérain aux 13 M€ de revenus se tourne vers un nouvel investisseur pour récolter...
TECH | MerciYanis capte sa série A
Le concepteur d'une solution de gestion de la propreté et des incidents de bureau grâce à des objets connectés et un logiciel lève...
TECH | Matchers se forme avec un fonds régional
L'éditeur d'un site web permettant aux TPE d’accéder à des formations sur-mesure lève ...
TECH | Reev fait un premier pas avec trois fonds
Le développeur toulousain de genouillères robotisées pour améliorer la mobilité des personnes souffrant de trouble de la marche lève...
TECH | Toopi Organics se fertilise
Pour construire ses premières unités de production et développer trois nouveaux produits, la biotech qui transforme l’urine humaine en biostimulants pour l’agriculture biologique boucle une levée de série A de...
MH Industries consolide son tour de table
Soutenu depuis dix ans par Multicroissance, puis depuis 2017 par Irdi, le groupe familial occitan de fonderie aluminium aux 30 M€ de revenus élargit son actionnariat...
TECH | PeopleSpheres s'essaye au crowdfunding
Visant la rentabilité d'ici un an, l'éditeur de solutions RH aux 10 M€ d'ARR est en voie de finalisation d'une levée de...
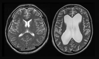
TECH | X-Pressure veut diagnostiquer l’hydrocéphalie
La jeune medtech toulousaine s’apprête à industrialiser son outil de diagnostic de l’hydrocéphalie avec le soutien financier de...
TECH | Ilasis Laser lorgne le marquage CE
La medtech bordelaise à l’origine d’un dispositif médical laser visant à faciliter les opérations de la cataracte lève un tour de pré-série A de...
Domusa embarque deux nouveaux fonds
Le petit groupe aéronautique francilien de 20 M€ de chiffre d’affaires, accompagné depuis 2010 par Ciclad, change de mains au profit de…
TECH | Nimbl’Bot attrape des fonds
Le créateur bordelais d'une architecture robotique bio-inspirée d’une colonne vertébrale lève...










.jpg)
.jpg)














